聲像圖特點:1、子宮增大邊界不規則。2、肌瘤結節呈低回聲、等回聲或強回聲。等回聲周邊可有低回聲暈呈假包膜。3、子宮內膜移位或變形。4、膀胱變形,易引起尿貯留。5、肌瘤結節周圍呈環狀及半環狀血流。阻力指數0.6±0.1。

聲像圖特征:1、子宮均勻性增大,邊界規則。2、子宮內膜線前移。3、子宮內回聲不均勻,低回聲、強回聲區,無包膜。4、子宮大小、內部回聲月經前后常有變化。5、腫塊周圍無環狀或半環狀血流,阻力指數約0.6。


2、宮腔積血、積膿、積液

(宮腔積液)






精準度是超聲不可否認的短板,但憑借其便捷無創,在肺栓塞的診斷仍占據一席之地,那么超聲心動圖下的肺血栓栓塞癥是什么樣的呢?趕緊一起來看看吧!
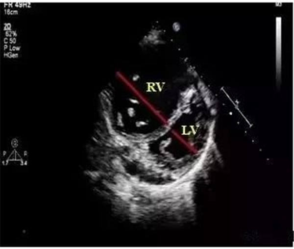
作為最特異的超聲心動圖特征,當右室/左室前后徑比值 > 0.5;右室/左室橫徑(右房/左房橫徑)比值 >1.1或者左心室收縮末期和舒張末期徑均減小,尤以舒張末期為著時,即可判定血栓性肺栓塞癥。
上圖:
右室壁運動幅度減低
正常情況下,右室前壁運動幅度應>5 mm,右室游離壁運動幅度會>8 mm,但對肺栓塞(PTE)患者,右室壁基底部至游離部運動幅度減低,甚至消失。
幅度降低可視但并非一個量化的標準,因此在把握和判斷上存在疑議,這里呢就為大家分享一點觀察的要點,同樣看圖說話:
正常聲像圖
PTE患者右室壁運動明顯減低
正常的主肺動脈直徑(MPA)<30 mm,左肺動脈&右肺動脈( LPA&RPA)<20 mm;而血栓栓塞性肺動脈高壓(EPH)患者的MPA>30 mm,LPA&RPA>20 mm;慢性血栓栓塞性肺動脈高壓(CTEPH)患者的MPA擴張則更加明顯。
正常肺動脈
將探頭置于劍下偏向右側,掃描平面與下腔靜脈平行,圖像顯示右房、下腔靜脈及肝靜脈。正常狀態時,下腔靜脈伴隨深吸氣出現明顯的塌陷,IVC 直徑≤2.1 cm 且吸氣塌陷率>50%,即3 mmHg (范圍 0-5 mmHg)。當右房壓升高時,直徑可>2.1 cm和/或吸氣塌陷率<50% ,即15 mmHg (范圍 10-20 mmHg)。在IVC 直徑和塌陷率不適合此標準的情況下,可取中間值 8 mmHg(范圍 5-10 mmHg)。
Tips:
IVC吸氣塌陷率的計算:(Max D-Min D)/Max D * 100%
在無肺動脈狹窄、肺動脈瓣狹窄以及右室流出道梗阻等情況發生時,根據簡化的Bernoulli 方程,肺動脈收縮(SPAP)≈右室收縮壓(RVSP)=4(VTR)^2+RAP;肺動脈舒張壓(PADP)的測量:PADP = 4 ×(肺動脈舒張末期反流速度V2)^2+RAP;平均壓(MPAP)=4×(肺動脈反流早期速度V1)^2+ RAP。當VTR>3.4 m/s時,SPAP>50 mmHg,但此處需要注意的是,三尖瓣反流量與肺動脈壓力無相關性!
肺動脈前向血流頻譜收縮中期出現切跡,同時伴隨血流速度明顯減低、血流加速時間(ACT)縮短(<80 ms)、右室射血前期(RPEP)縮短(<300 ms)及ACT與右室射血時間(RVET)比值減低(<40%)等,即常說的“指拳征”。
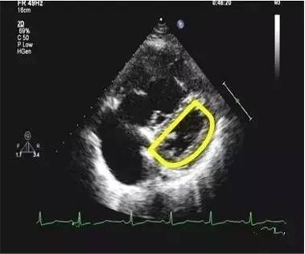
血栓
血栓是血栓性肺栓塞最典型的特征,位于右房或右室中的血栓可形態各異,而位于肺動脈內時則常表現為大塊血栓,從主干延續至一側或雙側肺動脈分支。右肺動脈主干血栓易于顯示,左肺動脈因顯示較短,血栓不易顯示。此外,需注意將血栓與右心系統腫瘤相鑒別。
右心血栓 肺動脈血栓
室間隔運動異常
主要表現為左室短軸切面“D”型改變。此時,室間隔偏向左室側,運動平直,收縮期運動幅度減低,與右室前壁及左室后壁運動不同步。
卵圓孔(PFO)重新開放
慢性血栓性肺栓塞患者,由于肺動脈高壓常造成PFO重新開放。往往會造成矛盾性栓塞。
臨床上可通過右心聲學造影判斷卵圓孔開放與否,經食管超聲心動圖則可顯示卵圓孔分流。